I know how much all of you love white teeth! But I also know that none of us want to pay hundreds of dollars to get our teeth professionally whitened, and most of us don't want to use at-home chemicals to do it either. So now what? Since starting this blog I have had the opportunity to try many different teeth whitening products, and I can honestly say that this next product surpasses them all.

What looks like an ordinary electric toothbrush is actually something really amazing! Of course most toothbrushes out their promise to help give you those sparkly white teeth you deserve, but do any of them actually do so? In my personal experience these other toothbrushes may in fact give you results but those results do not appear until months later. With the Emmi-dent 6 Ultrasonic Toothbrush you don't have to wait months to see results, you can see results in a matter of days!
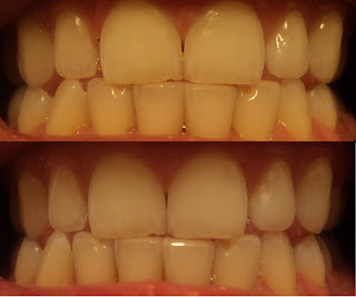
![]() |
| My teeth before and after Emmi-dent :) |
At first I was skeptical of Emmi-dents claims about how fast their toothbrush works, but I was very eager to get the answers for you guys. Two days after using this toothbrush I could already feel the difference. My teeth were so much smoother, and I could even tell a difference in the color and overall appearance of my teeth. I can honestly say that I have never been happier with any other toothbrush.
Did you know that your average toothbrush cleans by applying abrasive particles found in toothpaste that can damage the enamel in your teeth? When I found this out I was shocked! So what makes Emmi-dent different from other toothbrushes? Emmi-dent works with what they call "nano-bubble" toothpaste that does not contain harsh abrasives, and that works with the ultrasound technology to not only clean your teeth but to also protect your enamel. Another great thing that this toothbrush does is that it cleans where your average toothbrush does not. Because it cleans with ultrasound instead of just bristles, the Emmi-dent can reach where other brushes do not and is able to lift the deeper stains from your teeth.
I love that the Emmi-dent not only comes with a stand, but it also comes with two brush heads and the toothpaste. So both me and my husband can use the same toothbrush by just using two different brush heads. What also really surprised me is how cheap the brush heads and the toothpaste is on their website. I thought that it would be very expensive to continue to use this brush when in my own experience it is actually cheaper in the long run to own an Emmi-dent than any other toothbrush. Not only do you get two for the price of one, but the accessories are cheaper than most other brands. Not to mention the great results you get from using it!
I would highly recommend this product to anyone that is looking for white teeth. I love my Emmi-dent and everything about it, and I'm sure you will too!
You can find out more about Emmi-dent on their website here.
Want to win your own Emmi-dent toothbrush? Stay tuned because we will be giving one away in our 2012 Gift Guide! Make sure to sign up for our Newsletter here to get the latest news and giveaways from Star Focal!
**Disclaimer** I was in no way paid, or obligated to give a positive review, or a review at all for this company. If you would like to read my full disclaimer for reviews you can find it here.
I would highly recommend this product to anyone that is looking for white teeth. I love my Emmi-dent and everything about it, and I'm sure you will too!
You can find out more about Emmi-dent on their website here.
Want to win your own Emmi-dent toothbrush? Stay tuned because we will be giving one away in our 2012 Gift Guide! Make sure to sign up for our Newsletter here to get the latest news and giveaways from Star Focal!
**Disclaimer** I was in no way paid, or obligated to give a positive review, or a review at all for this company. If you would like to read my full disclaimer for reviews you can find it here.



No comments:
Post a Comment